
高齢で骨が弱くなった患者さんの場合、一度固定しても、やがてネジが抜けてくるケースがあります。抜ければ当然、ズレてしまう。こうしたケースでも、絶対抜けないように弱い骨でも固定するのがロッキングプレートで、現在の主流となっています。
この、ロッキングプレートには大きく2種類ありまして、一つは一方向にネジを固定するタイプ。もう一つはネジの方向に自由な角度を持たせたタイプです。
固定式だと、決まった方向にしかネジが進みません。この骨に固定したいと思っても、自由度がありません。ケースによっては、プレートを固定すべき位置では、ネジが骨から突き出てしまうため使えないこともあります。ただ、方向が決まっている分、ネジの固定力が強いので安心できます。
これに対し自由度の高いプレートは、様々な位置に固定できるので、対応力が広いと言えます。ただ、全部が自由だとネジ同士が当たる可能性もあるなど、自由度が高いために手術が難しくなることもあります。また、ネジの固定力が弱いことも問題となります。
まさに一長一短ですね。しかもこれまでのプレートは、「全部固定」「全部自由」のどちらかしかありませんでしたので、この両方の機能を1枚のプレートに持たせた「ハイブリッド方式のロッキングプレート」を考案しました。1列目が固定で2列目は接触しない範囲で角度を変えられる、まさに両方の機能の“良いとこどり"なのです。これによって手術はスムーズになり、また固定力も強固になりました。
プレートを見ていただけば分かるように、これまでの平面なプレートと異なり橈骨に合わせた捻れた形状になっているので、骨との適合が非常に良いのです。骨にフィットすることはもちろん、骨の表面を通っている親指を動かす腱に干渉しないため、従来のプレートと比較すると腱断裂などの合併症予防にもつながります。
材質はチタン合金で、厚さは僅か2mm。非常に軽くて丈夫です。制作にあたっては技術的に難しい面もありましたので、高度管理医療機器の認証を受けるまで4年ほどの期間を要しました。
注目ポイント1 理想的な位置(関節の直下)にネジを入れ固定できる
-

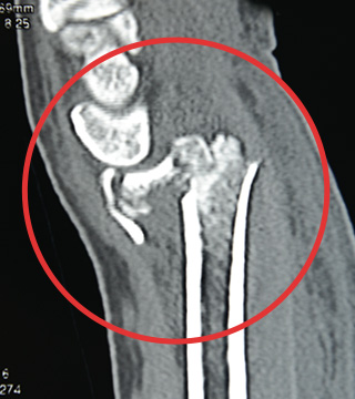
転落して受傷し来院されました。関節面が粉砕して大きくズレた骨折で、適切な位置で軟骨下骨を支持するのが難しいケースです。
-

ハイブリッドロッキングプレートを関節直下に固定しています。
-

1列目は強固に固定します。2列目は自由度があるため高い対応力を発揮します。
このCT画像のような粉砕骨折のケースでも、ハイブリッドロッキングプレートを用いた固定支持が可能です。
注目ポイント2 橈骨に沿う“逆位相”を採用した世界初のプレート
-

骨は平面でなく、とくにプレートで固定したい部分は逆向きの傾斜となっています。 ハイブリッドロッキングプレートは、解剖学的な遠位・近位の逆 位相の捻れを再現しており、骨表面と良好な適合性を持つことができます。
-

術後CT画像:どの位置でもハイブリッドロッキングプレートが骨に密着しています。

