
河野 茂
- 院長・センター長

手は、人生そのものを支える部位です。 日常生活、仕事、趣味――そのすべてにおいて、私たちは無意識のうちに「手」に支えられています。
一方で、手は外傷や使いすぎによる障害が生じやすく、わずかなトラブルでも生活の質に大きな影響を及ぼします。さらに、手は骨・腱・神経・血管が緻密に組み合わさった極めて精巧な構造を持つため、専門的な診断と治療が求められる領域です。
当院の手外科では、手・上肢全般の疾患に対し、専門的かつ包括的な診療を行っています。精密な外科手術および関節鏡・内視鏡を用いた鏡視下手術を積極的に取り入れ、術後は専門的なリハビリテーションチームと連携しながら機能回復を支援します。
「痛みを取る」だけでなく、 "その人らしい手の機能を取り戻すこと" を目標に。
手や上肢の症状でお困りの際は、どうぞお気軽にご相談ください。
| 骨折 | (骨性マレットなど)手指の骨折 |
|---|---|
| (舟状骨骨折など)手根骨骨折 | |
| 橈骨遠位端骨折 | |
| 肘頭骨折 | |
| 上腕骨遠位端骨折 | |
| 上腕骨近位端骨折 | |
| 腱鞘炎 | ばね指 |
| ド・ケルバン腱鞘炎 | |
| 変形性関節症 | 母指CM関節症 |
| ヘバーデン結節 | |
| ブシャール結節 | |
| 神経障害 | 外傷などによる神経損傷 |
| 絞扼性神経障害(手根管症候群、肘部管症候群など) | |
| 腱損傷 | 伸筋腱断裂 |
| 屈筋腱断裂 | |
| その他 | TFCC損傷・尺骨突き上げ症候群 |
|
キーンベック病、デュプイトラン拘縮 |
|
| 関節リウマチによる手指・手関節障害・腱断裂 など |
伝達麻酔、日帰り手術で負担を少なく
当院では、手術に必要な神経のみを選択的に遮断する伝達麻酔(神経ブロック)を用いて手術を行っております。 さらに、超音波(エコー)ガイド下で正確に神経を同定しながら麻酔を実施することで、安全性を高め、身体への負担を最小限に抑えています。
この方法により安定した麻酔管理が可能となるため、ある程度時間を要する手術においても、多くの症例で日帰り手術に対応しております。
患者さんにとって安心で質の高い治療を、これからも提供してまいります。

関節鏡を用いて、より専門的に
ばね指や手根管症候群に対して、当院では関節鏡(内視鏡)を用いた鏡視下腱鞘切開術や鏡視下手根管開放術を行っています。
また、手関節鏡を用いて、繊細かつより専門的な手術も行っております。
手首の外側部分には撓骨と尺骨をつなぐTFCC(三角繊維軟骨複合体)という靱帯・腱・軟骨がハンモックのようにまとまっている部位があります。
このTFCCは、倒れる自転車を咄暁に支えるなど、思わぬ負荷がかかると痛めやすいのが特徴です。一般の診療では見逃されることが多く、「いつまでも治らない」とかかりつけ医から当科を紹介されて判明することが多いです。
重症の場合は「鏡視下手術」で治療を行っています。鏡視下手術では直径1.9mmの小さなカメラを入れ、靭帯を縫うなどの繊細で専門性の高い治療をします。
また、TFCCは先天的に尺骨が橈骨と比較して長いケースもあり、TFCC損傷の原因となるため、尺骨を短縮させる手術も行っています。

手首の小指側で骨関節を支える靭帯と軟骨でできた組織。

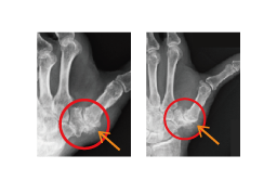
母指(親指)の根元にある母指CM関節の軟骨が摩耗するなど、亜脱臼状態(ズレたり、外れかかること)になると、「物をつかむ」「瓶のふたを開ける」「包丁で何かを切る」といった作業で母指に力のかかる動作で痛みを伴うようになります。これが母指CM関節症です。
40歳以上、特に閉経後の女性や、つまみ動作の多い職業の方が発症しやすいのが特徴です。また男性は、力仕事やけがによって発症するケースがよくみられます。
※赤丸内:関節軟骨は消失し、大きな骨棘が形成されています。

まずは装具装着などによる保存的な治療を行いますが、疼痛が改善しない場合は手術となります。 手術方法もさまざまですが、当院では、ミニタイトロープを用いた母指CM関節形成術や、自分の腱を用いた関節形成術を行っております。
※高強度の医療用ファイバーワイヤー(強靭な糸)で関節を制動する新しい術式です。
高度な施術の技能が必要となりますが、「つかむ力」や「可動域」を確保しつつ「早期に痛みをとる」など多くの点で低侵襲な術式といえます。
病状や年齢、リハビリテーションの実施内容など、個人差がありますので一概には言えませんが、実際に屈強な大工さんや宅配業者さんなど、力仕事をされる患者さんが、手術後におおよそ元のレベルにまで回復され、仕事へ復帰されています。
この術式を京都市内で行っているのは当院のほか、公的病院2施設だけ(2022年5月時点)で、全国的にも実施施設が少ない状況です。質問などございましたら、是非、当院の手外科センターまでお問い合わせください。

手術による治療は、機能回復への大切な第一歩です。しかし、真の回復には術後のリハビリテーションが不可欠です。術後の手は拘縮(関節が硬くなること)を起こしやすく、骨の癒合が得られても指の動きが十分でなければ、手本来の機能を取り戻すことはできません。
当院には、手のリハビリテーションを専門とする作業療法士が在籍しており、術後の状態・患者さんの生活背景に合わせた個別のリハビリプログラムを提供しています。また、必要に応じてオーダーメイド装具を作製し、日常生活における手の機能回復を総合的にサポートいたします。

当院では、リウマチセンターと緊密に連携し、毎週1回の合同カンファレンスを通じて症例の検討・情報共有を行っています。
関節リウマチの患者さんは、上肢の変形により日常生活にさまざまな支障をきたすことがあります。そのため当院では、装具療法やリハビリテーションといった保存療法を基本としながら、必要に応じて手術療法も組み合わせ、機能の改善と生活の質の向上を目指した包括的な治療を提供しています。
診療時間
9:00~12:00(受付 8:30〜12:00)
13:00~16:00(受付 12:30〜16:00)
17:30~20:00(受付 16:30〜20:00)
土(午後)・日・祝日
面会時間
13:00~19:00
※患者さんの病状によっては面会制限があります。
※必ず各病棟スタッフステーションにお声掛け下さい。
サイト内検索
サイト内の知りたい情報を、キーワードで素早く探せます。
目的のページがすぐに見つからないときにご利用ください。
お困りごとはありませんか?
メニューを閉じる